Menu
First Trimester Ultrasound
Contact Us
Memberanship
Medical News
Staff
FAQ
Articles
General Knowledge in Ultrasono
test
General Knowledge in Radiology
General Knowledges in Bone Den
General Knowledge in MRI
Devices of Medical Imaging
WHAT IS SIGNOSTICSRT High Qual
Australasian Society for Ultra
Article
Australasian Society for Ultrasound in Medicine
NT In first Trimester of pregnancy
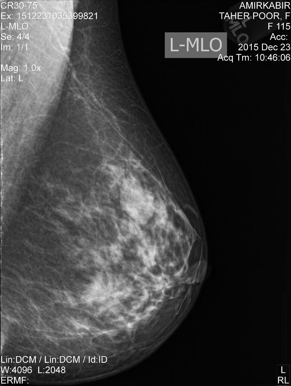
Breast cancer
SignosticsRT
AIDS
color doppler ultrasonography
4D ultrasonography
Bone Densitiometry
HSG
M.R.I
Mamography
CT Scan
Ultrasonography
General Radiology
Gallery

jastin yiyi nilam

Links





View
Today :127
Yesterday :1423
Total :408036


Breast cancer

Genetic for Breast Cancer

Anatomy Of Breast